martes, 20 de octubre de 2020

INTRODUCCIÓN A LA RADIOLOGÍA DE EXÁMENES ESPECIALES

ESTUDIANTE:YESENIA MARTINEZ CHAYACAÑA

CICLO:SEGUNDO

CURSO:INTRODUCCIÓN A LA RADIOLOGÍA

MODULO:EXÁMENES RADIOLÓGICOS ESPECIALES

TEXTO:PPT

AUTOR: Lic. Marco Antonio Rivero Mendoza

REFLEXIÓN METACOGNITIVA

En nuestra quinta clase veremos acerca de los exámenes especiales junto con los medios de contrastes y en que aplicaciones se usan, también cuales son las indicaciones para estos exámenes y rol cumple el tecnólogo en esta parte. 
¿ QUE ES UNA RADIOGRAFÍA ESPECIAL ?
La radiografía especial es aquella que usa un medio de contraste para poder visualizar aquellas estructuras anatómicas que no se puede identificar en una radiografía simple, por su baja densidad o contraste.
MEDIO DE CONTRASTE
Son medicamentos que aumentan o proporcionan opacidad a los diferentes órganos que se van a estudiar radiológicamente.

INDICACIONES
  • Evaluación del aparato digestivo 
  • Evaluación del aparato urinario 
  • Evaluación del sistema reproductor femenino 
  • Evaluación del sistema vascular
  • Evaluación de cavidades
  • Evaluación de cavidades anormales
CONTRA INDICACIONES
  • Embarazo
  • Alergia al yodo 
  • Alergia a pescados y mariscos 
  • Insuficiencia renal 
  • Diabetes 
  • Asma
APLICACIONES EN GASTROENTEROLOGÍA
TRACTO DIGESTIVO
  • Esófago
  • Estomago 
  • Intestino delgado
  • Intestino grueso 
SISTEMA HEPATOBILIAR 
  • Vesícula biliar
  • Vías biliares 
TRACTO URINARIO
  • Urografía excretora 
  • Uretrocistografía 
FUNCIONES DEL TECNÓLOGO MÉDICO EN RADIOLOGÍA ESPECIAL  
  • Evaluación de la preparación del paciente previo al examen
  • Evaluación de la protección radiológica
  • Preparación del medio contraste
  • Administración del medio de contraste
  • Elección de la técnica adecuada
  • Posicionamiento del paciente
  • Modificación del protocolo de exploración
  • Evaluación de la calidad de imagen obtenida
  • Post proceso de la imagen digital
  • Proceso de la imagen analógica        

INTRODUCCIÓN A LA RADIOLOGÍA DE EXÁMENES SIMPLES

ESTUDIANTE:YESENIA MARTINEZ CHAYACAÑA

CICLO:SEGUNDO

CURSO:INTRODUCCIÓN A LA RADIOLOGÍA

MODULO:EXÁMENES RADIOLÓGICOS SIMPLES

TEXTO:PPT

AUTOR: Lic. Marco Antonio Rivero Mendoza

REFLEXIÓN METACOGNITIVA

Durante nuestra cuarta clase nos adentramos más hacia los fundamentos de los exámenes radiológicos simples, por lo cual podemos empezar a visualizar diferentes densidades en distintas imágenes tomadas con los rayos x.  
¿ QUÉ ES LA RADIOGRAFÍA ?
Fue unas de las primera tecnologías de imágenes radiológicas. La imagen se obtiene al exponer al receptor de imagen radiográfica a una fuente de radiación de alta energía, comúnmente rayos X o radiación gamma procedentes de isotopos radiactivos. Los Rayos X se emite en menos de 1/2 segundo, el detector utilizado en una radiografía puede ser una película fotográfica (radiografía convencional) o un sistema de detector electrónico (radiografía digital).
¿ QUÉ ES UNA RADIOGRAFÍA SIMPLE ?
RADIOGRAFÍA DE TORAX 
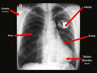
Es una imagen en negativo en donde las áreas correspondientes son estructuras livianas o inexistentes que presentan una máxima señal o densidad óptica (áreas oscuras).Y aquellas secciones de rayos x que atraviesan estructuras densas y muy atenuantes, dan lugar a señales débiles o en una baja densidad óptica (áreas blancas). Por lo cual encontramos en una radiografía 5 densidades básicas que nos permite ver cuales de las estructuras recibió una fuerte dosis de radiación.     
DENSIDADES RADIOLÓGICAS
¿ CUÁLES SON LAS INDICACIONES DE UNA RADIOGRAFÍA SIMPLE ?
  • Evaluación del sistema osteoarticular
  • Evaluación postural ( columna vertebral )
  • Evaluación del aparato respiratorio ( pulmones ) 
  • Evaluación cardiovascular ( mediastino)
  • Evaluación del sistema digestivo ( abdomen )
  • Evaluación del sistema urinario ( abdomen )
  • Evaluación del crecimiento óseo 
  • Evaluación enf. inflamatorias ( ORL ) 
  • Evaluación dental
  • Embarazo ( contra indicación )
¿ CUÁLES SON LAS APLICACIONES DE LA RADIOGRAFÍA SIMPLE EN DIFERENTES ÁREAS?
  • Emergencias
  • Neumología
  • Pediatría
  • Traumatología
  • Gastroenterología 
  • Otorrinolaringología 
  • Neurología
  • Neurocirugía 
  • Reumatología 
  • Medicina física
  • Cardiología 
  • Cirugía 
  • Oncología 
  • Urología 
  • Maxilofacial 
  • Odontología 
¿ QUÉ FUNCIONES CUMPLE EL TECNÓLOGO MÉDICO EN RADIOLOGÍA?
  • Realización de exámenes radiológicos
  • Evaluación de la protección radiológica
  • Elección de la técnica adecuada
  • Posicionamiento del paciente 
  • Modificación del protocolo de exploración
  • Proceso de la imagen analógica
  • Post proceso de la imagen digital 
  • Evaluación de la calidad obtenida 
       
¿ CUÁLES SON LOS ESTUDIOS MAS FRECUENTES DE LA RADIOGRAFÍA SIMPLE?
  • Rx tórax
  • Rx abdomen 
  • Rx columna 
  • Rx extremidades 
  • Rx senos paranasales 
  • Rx costillas 
  • Rx pelvis 
  • Rx dental    

                            
            

lunes, 19 de octubre de 2020

MARCO LEGAL DE LA PROFESIÓN DE TECNOLOGÍA MÉDICA EN RADIOLOGÍA

ESTUDIANTE:YESENIA MARTINEZ CHAYACAÑA

CICLO:SEGUNDO

CURSO:INTRODUCCIÓN A LA RADIOLOGÍA

MODULO:MARCO LEGAL 

TEXTO:PPT

AUTOR: Lic. Marco Antonio Rivero Mendoza

REFLEXIÓN METACOGNITIVA

Durante la profesión nosotros cumplimos ciertos reglamentos que nos son instruidos por una institución como: el estado y el colegio tecnólogo médico. Estos protocolos deben ser estrictamente cumplidos por el tecnólogo en su centro de trabajo.
Esta ley nos da a conocer acerca de las disposiciones generales, la naturaleza de la profesión, la competencia y función del tecnólogo médico. También nos habla acerca de las obligaciones y derechos, estar perfectamente capacitados, estructuras y niveles de la carrera.
Esta ley nos habla acerca del colegio tecnólogo médico, sus fines y atribuciones, los miembro que forman parte del colegio, los consejos regionales juntos con los miembros, las funciones y atribuciones de los miembros del consejo regional, el régimen económico y sanciones.

Se establece un servicio prestado por los profesionales de la salud que obtenga un título, esto es un requisito indispensable para ocupar cargos en entidades públicas. Se efectuara como una acción complementaria para los cumplimientos para los planes del desarrollo y sectoriales de la salud que tendrán una duración de un año.

COLEGIO TECNÓLOGO MÉDICO DEL PERÚ
  1. Consejo Nacional
  2. Consejo Regionales:
  • presidente
  • secretario
  • tesorero
  • 1°vocal
  • 2°vocal
CONSEJOS REGIONALES
  • Lima-Callao-Ica
  • Lambayeque-Amazonas-Cajamarca-San Martín
  • Arequipa-Moquegua-Tacna-Puno
  • Huancavelica-Junín-Ayacucho-Ancash
  • Cusco-Apurímac-Madre de Dios
  • Huánuco-Pasco-Ucayali
  • Loreto-Trujillo-Piura-Tumbes

      
     
     


domingo, 18 de octubre de 2020

EL TECNÓLOGO MÉDICO EN RADIOLOGÍA

ESTUDIANTE:YESENIA MARTINEZ CHAYACAÑA

CICLO:SEGUNDO

CURSO:INTRODUCCIÓN A LA RADIOLOGÍA

MODULO:EL TECNÓLOGO MÉDICO EN RADIOLOGÍA

TEXTO:PPT

AUTOR: Lic. Marco Antonio Rivero Mendoza

REFLEXIÓN METACOGNITIVA

En la segunda clase nos informamos sobre el desenvolvimiento del tecnólogo medico en diferentes arias radiológicas. También observamos el perfil del medico radiólogo, las arias y especialidades en donde se desempeñan, el mercado laboral y las universidades en donde se estudia la carrera junto con su malla curricular. 
¿QUÉ ES LA PROFESIÓN DE TECNOLOGÍA MÉDICA EN RADIOLOGÍA? 
Es una profesión universitaria de las ciencias de salud, que contribuye al diagnostico y recuperación de salud , mediante planificación , modificación , ejecución de métodos , procedimientos y tecnologías donde se usa radiaciones ionizantes y no ionizantes .


La profesión dura 5 años de formación universitaria y al finalizar nos 
otorgará el título profesional en Licenciado en Tecnología Médica en la especialidad de la Radiología.
¿CÓMO ES EL PERFIL DE UN TECNÓLOGO MÉDICO?
Un tecnólogo medico debe poseer bases solidas en conocimientos y dominio en la tecnología, también debe saber diagnosticar y aplicar un adecuado tratamiento mediante el uso de las radiaciones.
El tecnólogo médico ejecuta con calidad tecnológica, científica, humana las exploraciones o procedimientos, por igual, evalúa, adapta e implementa protocolos nacionales como internacionales así mismo desarrolla proyectos o trabajos de investigación.   
¿CUÁLES SON LAS ÁREAS DE DESEMPEÑO DE UN TECNÓLOGO MÉDICO EN RADIOLOGÍA?
  • Diagnóstico general y especial
  • Radiología Intervencionista
  • Tomografía Computarizada
  • Radiología Digital
  • Resonancia Magnética
  • Medicina Nuclear 
  • Radioterapia
  • Control de calidad en radiología   
  • Ultrasonido
¿CUÁL ES EL MERCADO LABORAL DE UN TECNÓLOGO MEDICO EN RADIOLOGÍA?
  • Hospitales e institutos especializados del Ministerio de Salud, EsSalud, Sanidad de las Fuerzas Amadas.
  • Clínicas y consultorios particulares
  • Centros privados especializados en diagnostico por imágenes y radioterapia.     
¿CUÁLES SON LAS UNIVERSIDADES FORMADORAS DE TECNÓLOGO MÉDICO EN RADIOLOGÍA? 
UNIVERSIDADES NACIONALES 
  • Universidad Nacional Mayor de San Marcos
  • Universidad Nacional Federico Villareal
UNIVERSIDADES PRIVADAS
  • Universidad Peruana Cayetano Heredia
  • Universidad Alas Peruanas
  • Universidad Peruana de Los Andes
  • Universidad de Chiclayo 




sábado, 17 de octubre de 2020

HISTORIA DE LA RADIOLOGÍA

ESTUDIANTE:YESENIA MARTINEZ CHAYACAÑA

CICLO:SEGUNDO

CURSO:INTRODUCCIÓN A LA RADIOLOGÍA

MODULO:HISTORIA DE LA RADIOLOGÍA

TEXTO:PPT

AUTOR: Lic. Marco Antonio Rivero Mendoza

REFLEXIÓN METACOGNITIVA

La primera clase fue muy interesante, porque nos da a  conocer la historia de la radiología con la primera exploración de los RX sin la medida de protección contra la radiación en ese tiempo. Mediante un video que nos hicieron observar para entender mejor como surgió la historia de la radiología

Todo comenzó el 28 de diciembre de 1895 en Alemania, el físico Wilhelm Conrad Roentgen anunciaba el descubrimiento de unos rayos invisibles y los bautiza como rayos x. Estos rayos se puede ver en el interior del objeto y cuando la mano se interpone con los rayos en la imagen solo aparece los huesos.
En enero de 1896, la experiencia de Wilhelm Roentgen es transmitida al publico que esta admirado por este gran descubrimiento.     
Primera radiografía médica de Wilhelm Roentgen de la mano de su esposa.

En 1897, el doctor Antoine Becquerel instala en el hospital Tenón en París el primer aparato de RADIOSCOPIA.
El entusiasmo de Antoine Becquerel se compartió con todos sus colegas creando varios servicios de radiología , los aparatos de rayos x ingresan a los hospitales antes que se descubrieran la electricidad. Estos aparatos funcionaban a mano, puesto que producían alta tensión.     
La primera radioscopia



La radiología se impone como una disciplina médica, los primeros radiólogos ignoraban el peligro que esta producían, muchos radiólogos sufrieron de RADIODERMITIS. Los rayos x son utilizados como un auxiliar medico para el tratamiento de la TUBERCULOSIS.
En 1928, el segundo congreso internacional de radiología crearon "La comisión internacional de protección contra los rayos x y el radio", en donde los radiólogos empezaron a usas equipos de protección antes los rayos x. 

Es muy importantes para conocer la historia de lo radiología ya que anteriormente no tenían una buena implementación para protegerse de los rayos que son altamente dañinos y como futuros radiólogos podemos prevenir estos actos que hicieron en esa época.